منو
جستجو برای
یک دکتر
پوست و مو
لاغری و تناسب اندام
طب سنتی
تماس با ما
درباره ما
آپارات
تغییر پوسته
7:18:12 بعد از ظهر - شنبه 24 آبان 1404
جستجو برای
خانه
/
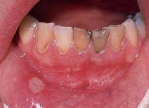
Aphthous stomat آفت دهان و زبان
Aphthous stomat آفت دهان و زبان
دکمه بازگشت به بالا
بستن
جستجو برای